
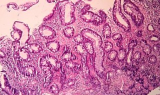
1、慢性胃炎时,胃黏膜上皮转变为含有帕内特细胞或杯状细胞的小肠或大肠黏膜上皮组织,称为肠上皮化生(简称肠化生),是一种比较常见的现象,特别是在高龄人更为多见。
2、肠上皮化生常常合并于慢性胃炎,特别是慢性萎缩性胃炎。由于胃病检查技术的发展,特别是胃镜的应用,早期胃癌的大量发现与研究,认为胃粘膜肠上皮化生与胃癌有密切关系。
健康养生2022-03-18 13:21:29未知

1、慢性胃炎时,胃黏膜上皮转变为含有帕内特细胞或杯状细胞的小肠或大肠黏膜上皮组织,称为肠上皮化生(简称肠化生),是一种比较常见的现象,特别是在高龄人更为多见。
2、肠上皮化生常常合并于慢性胃炎,特别是慢性萎缩性胃炎。由于胃病检查技术的发展,特别是胃镜的应用,早期胃癌的大量发现与研究,认为胃粘膜肠上皮化生与胃癌有密切关系。
莴笋热量 莴笋有多高的热量