
1、不一定,如果不注意会产生病变
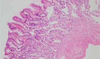
2、胃黏膜肠上皮化生是由慢性胃炎到胃癌发生过程中的重要环节,目前临床诊断主要依赖于内镜检查及胃粘膜活检病理证实。肠上皮化生可与许多胃黏膜病变伴随,如浅表性胃炎、萎缩性胃炎、糜烂性胃炎、胃溃疡可伴有肠上皮化生。
3、慢性萎缩性胃炎通常也会伴有肠化生的现象。胃癌确实可能由肠上皮化生发展而来,但肠上皮化生离胃癌还有很长一段距离。不要因为检查出肠化生就背上思想包袱,焦急忧虑,增加不必要的负担。
胃黏膜上皮细胞癌变并非一朝一夕的事情,并非由正常细胞一跃成为癌细胞,而是一个慢性渐进的过程,
4、在发展成恶性肿瘤之前,常常经历:正常胃黏膜→慢性浅表性胃炎→慢性萎缩性胃炎→不完全小肠型肠化→不完全大肠型肠化→异型增生→早期胃癌→进展期胃癌。如此多年持续的癌前变化。若能及早识别和及早干预,也是一种防止胃癌的有效途径。
5、100个慢性胃炎伴有肠化生的,只有不到3-5个病人会发生不好的变化。所以要克服“恐癌”现象。肠上皮化生的治疗需要较长的时间,换句话说,就是比较不容易消失。一般单纯肠化生,不必过于紧张,胃镜复查一年一次,早发现早治疗。





