
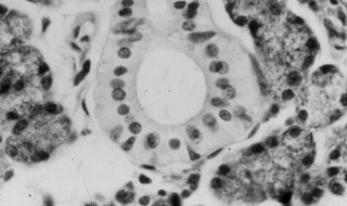
1、混合性腺泡由浆液性腺细胞和黏液性腺细胞共同组成。
2、常见的形式是,腺泡主要由黏液性腺细胞组成,几个浆液性腺细胞 位于腺泡的底部或附于腺泡的末端,在切片中呈半月形排列, 故称半月。
3、半月的分泌物可经黏液性细胞间的小管释入腺泡腔内。
体育百科2023-02-21 06:30:00佚名

1、混合性腺泡由浆液性腺细胞和黏液性腺细胞共同组成。
2、常见的形式是,腺泡主要由黏液性腺细胞组成,几个浆液性腺细胞 位于腺泡的底部或附于腺泡的末端,在切片中呈半月形排列, 故称半月。
3、半月的分泌物可经黏液性细胞间的小管释入腺泡腔内。