
老年性白内障是白内障中最常见的类型,其中皮质性白内障是老年性白内障中最常见的,大约占一半以上,以晶体皮质灰白色混浊为主要特征,其发展过程可分为以下四期:
初发期
混浊首先出现在晶体周边部,皮质,呈楔形,其尖端指向中心,散瞳后可见到眼底红反光中有黑色楔形暗影,瞳孔区仍透明,视力无影响。
未成熟期/膨胀期
混浊的皮质吸收水分肿胀,混浊加重并向周围扩展,体积渐增大,虹膜被推向前方,前房变浅,有发生青光眼的可能。在未成熟期晶体前囊下皮质尚未完全混浊,用斜照法检查时,可在光源同侧瞳孔区看到新月形投影,这是此期的特征。
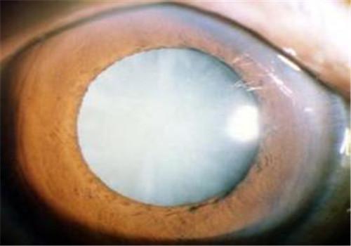
成熟期
混浊扩展到整个晶体,皮质水肿减退,晶体呈灰白色或乳白色。视力降至眼前指数或手动以下,此时晶体囊腔内的张力降低,晶体囊与皮质易分离,是白内障手术最理想的时期。
过熟期
成熟期白内障经过数年后,皮质纤维分解变成乳汁状,晶体核下沉,晶体体积缩小,对虹膜的支持力减弱,可见虹膜震颤现象,乳化状的晶体皮质进入前房,可刺激产生晶体源性葡萄膜炎;若皮质被巨噬细胞吞噬,堵塞房角可产生晶体溶解性青光眼。





